
(觀傳媒中彰投新聞)【記者廖妙茜/台中報導】35歲女會計師,日常工作長時間操作電腦與滑鼠,三年前開始出現手肘外側疼痛。起初只是偶爾痠痛,但隨著工作量增加,疼痛頻率逐漸升高,甚至影響日常生活。她曾到多家診所就醫,被診斷為「網球肘」(肱骨外上髁炎),接受過物理治療、震波治療及局部類固醇注射等保守療法,症狀雖能暫時緩解,但疼痛總是反覆發作,讓她感到十分困擾。C小姐後來到仁愛長庚合作聯盟醫院(大里仁愛醫院)骨科陳重宇醫師門診求診,經採用微創關節鏡手術恢復良好,兩週後即可開始進行伸展訓練,三個月後疼痛幾乎完全消失,日常生活與工作表現均明顯改善。她開心地表示,終於不用再擔心手肘痛到拿不動東西!

膜皺襞增生與軟骨軟化。這類結構性病因若僅以「網球肘」的治療方式處理,往往難以根治。
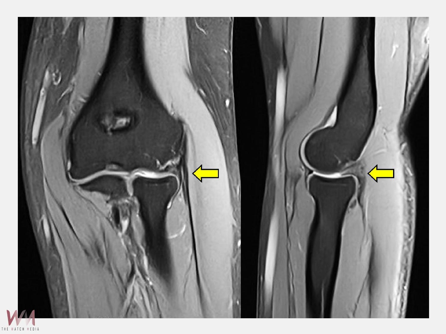
陳重宇醫師解釋,「網球肘」是最常見的手肘外側疼痛原因之一,主要由重複使用手腕伸展或抓握動作引起,造成肌腱慢性拉扯與微小撕裂,導致局部發炎與疼痛。常見症狀包括抓握無力、提重物時疼痛等。治療上,初期可透過休息、伸展運動、護具、物理治療控制症狀;若疼痛持續或反覆發作,可考慮震波治療或局部注射以促進修復。但若經過六個月以上積極治療仍無改善,建議進一步評估是否有其他病因。

陳重宇醫師說,外側手肘疼痛並非全是「網球肘」,其他常見原因包括:韌帶或關節囊損傷、剝離性軟骨炎、骨刺或退化性關節炎、滑膜皺襞症候群(synovial plica syndrome)和神經壓迫性疼痛。針對手肘的結構性病因,微創關節鏡手術是一個安全且效果良好的選擇。以C小姐為例,手術透過關節鏡直接觀察肘關節內部結構,精準鬆解發炎的肌腱附著點,並清除增生的滑膜皺襞。手術僅需數個約1公分的小切口,創傷小、出血少,術後疼痛明顯減輕,復原速度快。
陳重宇醫師提醒,若手肘疼痛經過6至12個月治療仍無改善,應及早尋求專科醫師檢查,找出病因,對症治療,才能真正改善生活品質。
圖:台北市政府警察局提供 報新聞/編輯部 臺北市警局北投分局光明派出所日前接獲民眾報案,指稱有機車鑰匙未拔,警方獲報後,立即趕赴現場,取下鑰匙後聯繫車主到場拎回,讓車主直呼貼心。北投分局光明派出所日前12時許接獲民眾報案,稱北投區復興公園旁有一部機車鑰匙未取下,員李心凱獲報後,擔心車輛因無人看管,遭不肖人士覬覦,恐有失竊風險,隨即馳赴現場查找。李員到場後,巡視公園周邊,在珠海路發現目標車輛,所幸鑰匙仍插在前置物箱上,為維護轄區治安及保障民眾財產安全,立即將鑰匙帶回保管,並於機車上方張貼代保管單,循線通知車主至所領回。車主表示,她在高中任教(姓謝、52歲),當日趕著上課,停好車離開時一時粗心,忘記拔起鑰匙,直到放學後查看手機,發現有多通派出所的未接來電,才驚覺鑰匙遺失,趕緊前往光明派出所認領。後經李員核對身分無誤後將鑰匙發還,並貼心陪同返回現場逐一清點置物箱內財物,確認物品均安然無恙。該民對員警主動為民服務之舉不斷表達感謝及讚許,也開玩笑地表示,幸好置物箱裡的住家磁扣尚在,否則今晚可能要露宿街頭,以後會確認將鑰匙取下後再離開。 圖:台北市政府警察局提供 北投分局呼籲,民眾騎車外出如將車輛停放戶外或路邊車格等無專人看管之處,最好多重上鎖(如前後輪、把手處),切勿因停放時間短暫而未鎖龍頭或未拔鑰匙,同時將車內貴重物品隨身攜帶,秉持「鑰匙帶著走、竊賊偷不走」的觀念,才是防竊的根本之道。 Please enable JavaScript to view the comments powered by Disqus.
波新聞-戴貴立/屏東 屏東縣政府預於11月16日在縣府1樓大禮堂辦理「屏東縣114年度志願服務人員暨社區好讚選拔、績優合作社聯合表揚典禮,今年度表揚首次新增「獨老關懷服務獎」,分別為「獨老守護團隊獎」、「典範督導獎」及「屏東暖陽獎」,藉此表揚在第一線投入獨居長者服務的團隊、督導與志工,肯定他們長期默默付出的精神與行動。 本屆獲得「獨老守護團隊獎」共有3個單位,分別為財團法人弘道老人福利基金會、屏東縣竹田鄉築愛發展協會,以及屏東縣全齡健康促進與教育推廣協會。其中,弘道老人福利基金會志工團隊負責潮州鎮部分村里、萬丹鄉及林邊鄉,長期扮演獨居長者生活守護者的角色。寒冬春節期間,志工會送上年菜、陪長者圍爐、走春,將節慶溫暖帶進家中;夏日高溫時,則上門關心居家環境,協助改善通風降溫,確保長者安全。一次協助長者居家清潔時,原本只在床上觀看志工打掃的朱姓阿公,也被鼓舞主動捲起袖子加入整理家務,讓志工深受感動,也讓關懷與善意在長輩與志工間持續流動,形成真正的「善的循環」。 「典範督導獎」2位督導,分別是屏東縣竹田鄉築愛發展協會的黃育珍督導,以及屏東縣全齡健康促進與教育推廣協會的林美幸督導。林美幸督導服務車城鄉,身為當地人並擁有19年在地志工經驗,她主動關心志工,傾聽困難、陪伴台語不流暢的志工進行訪視,並適時調整分工,凝聚團隊向心力。熟悉社區資源的她,能有效串連各村志工,並結合長照經驗,提升服務效率與關懷溫度。 「屏東暖陽獎」共表揚3名個人得獎者,他們長期深入社區,陪伴獨居長者,用行動傳遞愛與關懷。財團法人弘道老人福利基金會的林立婉志工,服務萬丹鄉林阿公時,發現其電鍋壞掉,煮餐成為困難。雖然長者未直接求助,林志工敏銳察覺困境,立即聯繫督導並協助申請縣府「周逸君敬老專案」補助,成功解決長者問題,讓長者感激地表示:「若無志工的幫忙,我何時才能有電鍋能使用。」屏東縣竹田鄉築愛發展協會的田淑琴與李鍾梅珍志工也長期投入獨居長者關懷服務,親自探訪長輩、傾聽生活需求,並協助連結社區資源。尤其李鍾梅珍已高齡80歲,仍以實際行動展現「年齡不是限制,愛心永不退場」的精神,成為地方最溫暖的典範。 縣府社會處表示,這些在地志工與團隊的關懷如屏東暖陽,最真實也最溫暖。縣府將持續合作,推動友善長者照顧與支持,讓每位長輩「在地安老、安心生活」。
墨新聞|記者張游舜/台北報導 10月10日至26日台灣設計展在彰化盛大登場,台東縣長饒慶鈴今(17)日特別到訪彰化展區,先後參觀小西商圈高賓閣、圖書館、藝術館、美術館及武德殿,由縣長王惠美親自接待,一同感受這場設計盛會的獨特魅力。 王縣長表示,感謝饒縣長縣府團隊蒞臨指導,饒縣長是5星級的縣長,不僅施政滿意度高,也積極推動觀光發展,是我們學習的楷模。本次展區橫跨彰化市、鹿港、田中、田尾等4個鄉鎮市,設有15個主題分行,希望透過設計展打開彰化,讓大家看見彰化之美。未來也期盼彰化與台東兩邊縣府團隊能多加交流,讓世界更加看見彰化與台東。 台東縣長饒慶鈴表示,很開心到訪今年於彰化舉辦的台灣設計展,從前(112)年彰化建縣300年就看見彰化的進步。奠基於文化、歷史及各行業的傑出底蘊,成功蛻變並用現代語彙詮釋成全新的樣貌。今天除到彰化展區的縣立圖書館、藝術館、美術館欣賞,也前往小西商街探訪舊商圈的活化整合,以及為青年朋友打造的N型未來學院,發現彰化無限的可能性,彰化的未來就像設計展所表現的「行行出狀元」。 王縣長帶領導覽的過程中,遇見許多來參訪的國中小及幼兒園的學童,孩子紛紛驚喜大喊「縣長好!」兩位縣長與孩子親切互動,並一起嘗試多種新穎的互動裝置。其中饒縣長於藝術館內體驗花卉改良所的裝置,將圖卡放於感應區而能在螢幕上生長出對應的花卉,並綻放許多美麗的花瓣,讓人可以親身感受彰化獨特的花卉文化。 照片/彰化縣政府提供 此篇文章最開始出處為: 台東縣長饒慶鈴到訪2025台灣設計展 看見彰化無限可能
▲老闆娘在急救過程當中滿臉是血,但面無血色。(圖/民眾提供) 【Lai傳媒、記者爆料網 金東天/高雄報導】 高雄鳳山今(10)日一早發生一起兇殺案,一名呂姓男子持刀殺害檳榔攤老闆娘,多刀造成對方當場無生命跡象,緊急送醫後搶救不治。《Lai傳媒、記者爆料網》取得當下的一段畫面,可見老闆娘滿臉是血,面無血色。 本報取得當下民眾拍下的急救畫面,只見老闆娘滿臉是血,已經面無血色。而在當時,老闆娘已經沒有了生命跡象,後續送往醫院急救了1個多小時,還是不幸宣告不治。 事發就在今日上午7時許,呂姓男子預藏水果刀到檳榔攤,目前有兩種說法,一種是呂男持刀要跟老闆娘拿錢,遭到拒絕後無情刺殺老闆娘;另一種則是呂男當時是要找老闆娘兒子,不料對方不在家,而他與老闆娘發生口角,憤而持刀將對方殺害。 嫌犯在事發後先跑遠,又回到附近的娃娃機店觀察現場,警方逮到人後,他還是一臉從容。據悉,呂男先前有多項前科,甚至110年被逮入獄後還與獄友發生衝突,這次的凶狠手段,不禁讓人懷疑,他根本就是預謀殺人。 下午檢警進行相驗,發現老闆娘頭、胸、上腹都有刀傷,家屬前去認屍時,崩潰跪地痛哭,而檢方與法醫也決定要擇日解剖釐清死因,嫌犯在訊後將依殺人罪移送法辦。 本文為「記者爆料網」授權刊登,原文網址
在今年艋舺青山宮暗訪暨繞境活動熱鬧結束後,不少民眾意外發現,在遶境的人潮與鑼鼓聲中,一抹熟悉的品牌亮點——「PP石墨烯」也悄悄現身其中。這個原本活躍於健康科技領域的品牌,如今走進了台灣最具文化能量的百年祭典,從在地信仰到藝文活動都能看見它的身影。PP石墨烯以最接地氣的方式陪伴台灣、支持文化,成為許多人心中真正「有溫度」的品牌。 以實際行動力挺藝文活動 展現品牌核心價值 「PP石墨烯」創辦人郭宏睿董事長,因為創業過程裡長期穿梭於民間與商界,對於各產業的艱辛最能感受身受,郭宏睿除了自身即為白沙屯媽祖的忠實信眾、長年出資贊助進香活動外,有感於文化軟實力對於一個國家的重要,他特別想要大眾關注力從手機轉移到台灣許多有底蘊、有潛力的文化工作者身上,以實際行動力挺台灣的流行及文化產業,秉持「取之社會、用之社會」的理念,PP石墨烯將品牌所受到的支持,轉化為最實際的應援。 2025 年便大力投入多場藝文活動,包括把信仰中的良善溫暖傳遞出去的「信徒文化季演唱會」、金曲歌后彭佳慧演唱會、更在八月贊助二姐江蕙的演唱會,跨界贊助讓粉絲們相當驚喜!其他像是舞台劇「會演是英雄」、品牌身影也再次出現在 台北最具代表性、擁有百年文化底蘊的「艋舺青山宮暗訪暨繞境活動」。這項堪稱台北三大廟會之一的盛典,每年吸引數十萬民眾共襄盛舉,被視為台灣最重要的城市文化能量之一。品牌不只站在健康科技的前端,也想把在地信仰與藝文能量傳遞給大家。 除了藝文領域,郭宏睿董事長也積極投入他熱愛的體育活動推廣,希望將重視健康的觀念帶給所有的台灣民眾 ,繼2024年受邀為中信兄弟開球, 今年亦持續走入球場,讓球迷能在現場看見PP 石墨烯的身影,透過創意的異業合作,讓更多人看見品牌的活力,從球場到劇場、從演唱會到文化祭典,PP石墨烯藉由跨界合作,讓更多民眾能在不同場景中看見品牌堅持、活力與公益形象。 深耕在地持續關注 成為有溫度的品牌 作為市場領導品牌,PP石墨烯始終專注於革命性的石墨烯科技,以創新為目標、為消費者打造更健康舒適的生活。值得一提的是,品牌在推進產品技術的同時,也從未疏忽社會公益的實踐:包括捐贈千件石墨烯智能衣給醫療志工與白沙屯香燈腳,協助他們應對日夜溫差;疫情期間更率先提供防疫物資給消防單位與醫院,並持續關懷偏鄉兒少與社福機構,深耕在地公益根基。 這份精神更是在 2025 年花蓮馬太鞍溪堰塞湖溢流造成重大災情時被再次展現。當地家園滿目瘡痍之際,董事長郭宏睿第一時間一同與宗教、企業與公益團體協助賑災,集結電風扇、石墨烯床墊等物資送往災區,以最直接的方式陪伴受災鄉親。 以艋舺青山宮暗訪暨繞境活動象徵的「守護城市、保庇眾生」,與PP石墨烯「健康守護、溫暖陪伴」的品牌理念相互呼應。品牌希望透過持續投入在地文化活動,科技不只是產品功能,更是一種能在關鍵時刻支持台灣、照顧台灣人的力量。
培育藝術人才 港澳聯動拓展國際交流網絡 澳門2026年4月17日 /美通社/ — 美高梅作為文旅領航者,多年來積極支持本地藝術發展及人才培育,自2017年與巴塞爾藝術展香港展會建立長期合作夥伴關係以來,持續為澳門藝術社群搭建接軌國際的平台,促進區域合作。為響應國家「十五五」規劃中推動文旅產業高質量發展、打造港澳成為中華文化出海及國際交流高地之戰略方向,美高梅持續發揮「超級聯繫人」角色,聯動香港及國際藝文資源,今年再度邀請澳門文化界領袖、藝術從業者及高校師生前往展會,參與專屬導覽及座談活動。與會者藉由親炙國際級藝術佳作,既拓闊全球化及前瞻性的文化視野,為澳門藝術發展注入創新思維,也拓展本地藝術生態與國際網絡的深度連結。 同時,美高梅今年與全球領先的顯示技術企業京東方(BOE)合作,於展會現場的美高梅專屬展位,透過兼具智慧節能與極緻畫質的「M」形四折結構高清小間距LED顯示屏及前沿的裸眼3D顯示技術,生動呈現澳門多項文旅項目內容,向國際藝術界展現澳門「文化+旅遊+科技」融合發展的多元魅力。 厚植澳門藝術人才發展沃土美高梅於昨日(26日)率先帶領逾20位澳門文化界領袖、藝術家及業界代表等參與預展專場,並與各藝廊代表深入交流;今日(27日),則進一步邀請30位本澳年輕藝術工作者和藝術專業的高校師生參觀展會並參加展會的重要交流項目「與巴塞爾藝術展對話」系列座談活動,聆聽賽義卜.艾格納(Saeb Eigner)、烏利.希克(Uli Sigg)等知名收藏家及藝術界領袖的分享,從藝術收藏、文化外交到跨地域交流等多重角度,深化對亞洲藝術發展脈絡及國際藝文生態的理解,近距離感受環球藝術市場脈動。 美高梅中國控股有限公司首席執行官及執行董事馮小峰表示:「美高梅始終致力發揮澳門作為中西文化交流重要窗口的獨特優勢,憑藉品牌獨有的國際網絡,持續為本澳藝文界搭建聯通世界的平台,助力業界加深了解環球藝術市場趨勢及藝術經濟發展實務,進一步拓寬發展空間。我們將繼續深化與全球文化藝術領域的交流合作,助力澳門經濟適度多元發展,並向世界展現澳門文旅融合發展的豐沛潛力。」 參與是次交流的澳門大學藝術博士學位課程在讀生朱姣表示:「從早前參加美高梅主辦的國家藝術基金人才資助項目課程,到今日獲邀參觀巴塞爾藝術展,我深刻感受到美高梅一直持續為本澳青年藝術人才及藝術專業學生提供多元化交流平台,讓我們有機會接觸國際藝壇、並深入了解全球藝術生態與市場脈動。這些難得的機會與寶貴的經驗,對我們拓寬創作視野與思考未來職業規劃都具有重要的意義。」 嶄新科技活現澳門多元文旅項目美高梅以創新的「M」形四折結構高清小間距LED顯示屏亮相展會現場,運用前沿科技打破傳統平面的視覺局限,形成視覺延伸,構造出觸手可及的現實感虛擬空間,生動還原保利美高梅博物館「絲路」大展中的珍貴展品,包括青花輪花紋綬帶耳葫蘆瓶、龍紋寶座毯等代表性文物,以及現當代頂級藝術品。同時,美高梅駐場鉅製《澳門2049》融合非物質文化遺產與現代科技的精華段落——如「呼麥•飄渺」等場景,也在屏幕上震撼重現。現場還循環展播澳門特別行政區政府宣傳片,讓觀眾身臨其境,感受澳門文旅產業多元融合、創新發展的嶄新氣象。 2026年度「美高梅藝術探新獎」得主揭曉此外,2026年度「美高梅藝術探新獎」亦於今日(27日)揭曉。國際評審團經嚴謹評選後,由法國畫廊Galerie Allen帶來的藝術家憑藉其作品展現出的前瞻性與原創性,從一眾國際新銳藝術家中脫穎而出。 巴塞爾藝術展香港展會總監樂思洋表示:「巴塞爾藝術展香港展會一直致力連結亞洲與世界各地藝術界,促進跨文化間富有意義的交流與對話。『美高梅藝術探新獎』體現了雙方的共同理念,支持新一代藝術家及其畫廊,並肯定新晉藝術創作所展現的原創性與活力。我們亦樂見此獎項為得獎藝術家及其畫廊提供與澳門交流的機會,透過這段極具意義的文化交流,開拓新的創作靈感與發展方向。」 該獎項由美高梅與巴塞爾藝術展香港展會於2025年共同設立,旨在發掘並支持具潛力的藝術新秀。評審團由五位資深國際藝術文化專家組成,獲獎藝術家與其代理藝廊共同獲得獎金,並獲邀前往澳門,以藝術視角探索澳門中西文化交融的獨特魅力,與當地青年人才交流,啟發更多創意靈感,更有機會在澳門展出作品。 更多高清相片:HK Press Kit 2026年度「美高梅藝術探新獎」由法國畫廊Galerie Allen帶來的藝術家憑藉其作品展現出的前瞻性與原創性,從一眾國際新銳藝術家中脫穎而出。 關於美高梅 美高梅中國控股有限公司(股份代號:2282)簡稱美高梅,為大中華地區領先的娛樂場博彩度假酒店發展商、擁有者和運營商之一,是美高梅金殿超濠股份有限公司的控股公司,為六家持有澳門經營博彩業務特許權的企業之一。美高梅金殿超濠現時擁有及經營兩家酒店:澳門美高梅位於澳門半島、是屢獲殊榮的豪華綜合度假酒店;而位於澳門路氹城的美獅美高梅為一現代豪華綜合度假酒店。 澳門美高梅是《福布斯旅遊指南》五星評級之綜合度假酒店,是一充滿創意和風格的藝術傑作。除了約600間豪華客房及套房,賓客還能在這裏發現眾多與別不同的奢華享受,包括以巨型玻璃天幕覆蓋、充滿歐陸設計特色的天幕廣場,氣勢磅礡。澳門美高梅擁有世界一流的設施,包括面積近2,000平方米按照國家一級文物展陳標準建造的博物館 —「保利美高梅博物館」、水療中心、七間各具特色且集合各國佳餚的餐廳及酒吧等,而功能齊全的會議及場地設施,也讓澳門美高梅成為舉辦各類宴會的理想地點。酒店位於澳門半島最矚目的地段上,位置優越,與名店林立的壹號廣塲相連。 美獅美高梅設計猶如路氹城的「珠寶盒」,設有約1,400間客房及套房、偌大的會議空間、奢華的水療設施、零售商店、餐飲配套、美高梅首間國際酒店別墅「雍華府」,及上演美高梅與中國大導演張藝謀攜手打造《澳門2049》駐場秀的美高梅劇院。美獅美高梅的視博廣場天幕在2019年1月19日被評為最大的懸跨網架式結構玻璃屋頂(自支撐),是中國澳門首個建築及結構範疇的健力士世界紀錄™榮譽。美獅美高梅旨在推動多元化發展,為澳門帶來更多元及創新的娛樂體驗,讓澳門繼續發展成為世界旅遊休閒中心。美獅美高梅是澳門唯一囊括三星級綠色建築設計標識和運行標識的巨型綜合建築及酒店,更是大灣區首家及大中華區第二家取得該認證的酒店。 美高梅中國控股有限公司主要由美高梅國際酒店集團(MGM Resorts International)擁有(紐約證券交易所代號:MGM)。美高梅國際酒店集團是世界領先的全球酒店及餐飲款待公司,其轄下的度假酒店項目包括百樂宮大酒店(Bellagio)、亞利亞(ARIA)、美高梅大酒店(MGM Grand)、曼德拉灣大酒店(Mandalay Bay)及Park MGM。有關美高梅國際酒店集團的詳情,請瀏覽 www.mgmresorts.com。 關於巴塞爾藝術展 巴塞爾藝術展於1970年由巴塞爾的藝廊創辦人成立,現今為全球頂尖的現當代藝術展會,每年於巴塞爾、邁阿密海灘、香港、巴黎及多哈舉行。每個展會均因各自的城市與地域而別具特色,具體體現在參展藝廊、展出作品,以及與當地文化機構為每屆展會合作策劃的同期活動內容之中。通過諸如「Zero 10」項目與巴塞爾藝術展應用程式等數碼平台,以及《巴塞爾藝術展與瑞銀集團環球藝術市場報告》、《巴塞爾藝術展與瑞銀集團環球藝術收藏調查報告》、巴塞爾藝術獎(Art Basel Awards)及巴塞爾藝術展商店等項目,巴塞爾藝術展將自身影響力拓展至藝術展會之外。獲取更多信息,請訪問 artbasel.com。
佛羅里達州西棕櫚灘2026年4月15日 /美通社/ — 全球對醫療旅行、醫療旅遊及醫療保健旅遊的需求不斷上升,Global Healthcare Accreditation (GHA) 在此領域一直引領發展,推動以病人為本的安全、透明跨境醫療服務。 GHA 是首個專注於醫療旅行的認證機構,對於制定國際標準、提升病人信任,以及促進世界各地醫療機構和旅遊目的地於日益全球化的醫療生態中互相競爭和合作方面,發揮舉足輕重的作用。 Global Healthcare Accreditation (GHA) 委任 Jilan Liu 博士為全球策略副總裁,使其在全球倡導以病人為本的安全醫療旅行方面,領導地位更顯穩固。 Liu 博士累積逾 30 年國際醫療經驗,橫跨認證、諮詢、數碼健康及醫療體系變革等多個範疇。 面對行業迅速發展及變革,GHA 欣然宣佈委任 Jilan Liu 博士為全球策略副總裁,藉此強化其全球領導力,並推動在亞太區及其他地區的策略性擴張。 Liu 博士擁有超過 30 年的國際醫療經驗,足跡遍及 30 多個國家及多個領域,包括認證、諮詢、醫療體系及數碼健康轉型。 她曾出任醫療資訊與管理系統學會 (Healthcare Information and Management Systems Society) 大中華區行政總裁,在推動區內醫院採納國際健康資訊科技 (IT) 標準及加快數碼轉型方面發揮關鍵作用。 此外,Liu 博士曾任國際醫療機構認證聯合委員會 (Joint Commission International) 大中華區首席顧問及總監,為全球數百間醫院提供專業意見,指導其提升病人安全、營運表現及醫療服務質量。 委任 Liu 博士反映出 GHA 決心深化亞太區佈局,同時支援醫療機構提供以病人為中心並符合國際標準的優質醫療服務。 Global Healthcare Accreditation 行政總裁 Renée-Marie Stephano 表示:「Jilan 在認證、數碼健康及醫療轉型方面經驗豐富,因而具備獨特優勢,能夠引領我們在亞太區及全球的策略發展。 她的領導能力將對我們履行使命發揮關鍵作用:加強病人安全保障、提高標準,並協助醫療機構應對不斷演變的全球醫療格局。」 對於新職位,Liu 博士表示:「在亞太區及全球醫療發展如此蓬勃的時刻,我很榮幸能夠加入 Global Healthcare Accreditation 擔任這個角色。 現在正是絕佳時機,可以將國際標準與地區需求相結合,增強各方信任,並協助機構跨越國界,提供基於價值且以病人為本的優質醫療服務。 我期望能為 GHA 在全球的持續發展和影響力出一分力。」 在 Liu 博士帶領下,GHA 將進一步擴展在亞太區及其他策略地區的版圖,建立策略合作關係,並協助醫療機構發展相關項目與營運能力,以應對市場對安全優質且獲國際信賴的醫療服務日益增長的需求。 關於 Global Healthcare Accreditation (GHA) Global Healthcare Accreditation (GHA) 不僅是認證機構,更是策略夥伴,致力改善病人體驗並推廣全球醫療實踐。 GHA 匯集頂尖認證機構、醫療創新先驅,以及醫療旅行與健康旅遊業界高層的專業知識,為全球各地政府、醫療機構及行業相關人士度身打造解決方案。 GHA 的《醫療旅行標準 5.0》 (Standards 5.0 for Medical Travel) 已獲國際醫療質量協會外部評審會 (ISQua EEA) 認證,彰顯其符合認證機構的最高國際標準。 透過認證、頒發證書、培訓及顧問服務,GHA 在全球醫療生態系統倡導公開透明、以病人為本的醫療服務,並追求持續精進。
台北2026年4月10日 /美通社/ — 隨著數位轉型深化與 AI 趨勢成長,企業的 IT 架構正經歷前所未有的複雜化;同時來自外部環境的惡意攻擊沒有停歇,持續成為許多組織重點關注的項目。然而,Synology 群暉科技在最新公布的 《台灣企業資料保護大調查 2026》中發現,當前的資安版圖已出現結構性的缺口。 Synology 發布《台灣企業資料保護大調查 2026》報告,匯集超過 1500 間企業的第一線資料保護經驗,統整最新的趨勢、挑戰與解決之道。 隨著備份資料的安全性日益重要,還有資安風險類型多元化,企業面臨的是——僅做好基礎的備份機制已經不夠,能否在災難發生時快速而且正確地還原,才是滿足韌性的首要指標,更得兼顧符合嚴格的法令規範。這將會為預算與人力有限的 IT 部門,帶來更加嚴峻的考驗,如果不重新從三大面向重新檢視資料保護架構,過往的防線就難以在關鍵時刻發揮效用 。 勒索軟體退居第三!硬體老化與人為疏失躍升首要威脅 內憂大於外患,硬體故障與人為疏失成營運最大殺手在 2026 年的調查數據中,企業最關注的資安風險排名出現了洗牌。高達 73.1% 的中大型企業將「硬體故障」視為影響程度最高的風險,其次為「人員疏失 / 異動」(62.6%),而勒索軟體則退居第三(55.3%)。 排名變動的背後,是當前企業的龐大 IT 基礎架構,勢必會碰到設備老化,或偶有故障發生的情況,稍有不慎就會造成資料遺失。而在人為疏失面向,跨部門同仁的一個無心操作,就可能誤刪大量檔案,或成為勒索軟體趁虛而入的破口,使得 IT 人員經常得到處救火。不僅如此,受調者頻繁提到多品牌系統管理,還有缺乏相應的自動化機制,都讓日常營運比想像中更耗費人力與心力。因此,企業除了定期關注硬體設備的健康度,更得思考怎麼有效簡化 IT 的庶務工作。 備份與還原效率危機顯現,無法即時還原關鍵資料當企業整體資料量仍加速上升,資料保護措施的效率表現勢必也要跟上腳步,可是實際觀察台灣企業的現況,幾乎都有備份太久、還原太慢的現象,無論是日常的增量備份,還是當系統出現問題時恢復可用的時間,超過半數的組織得花費 1 小時以上,皆視為營運風險提高的警訊。 確實超過半數企業,都認為當前的資料保護架構,出現備份或還原效率不足的情況,這提醒 IT 人員在導入或更新解決方案時,應確保擁有最佳的備份技術,以及便於集中管理的操作介面,避免付出了高昂成本,卻換來低落的資料保護效率。 人工離線備份藏隱憂,難以驗證備份資料可用性當備份伺服器成為惡意攻擊鎖定的目標時,企業的防禦思維就得進化,利用更進階的手法,保證備份資料的安全和可用性,也讓 Synology 看到本次調查中,已有 37.8% 企業落實了離線備份。 不過,再仔細挖掘受調者的回饋,發現許多企業是以高度仰賴人力的磁帶,才達成這項安全指標。這種得倚靠 IT 人員的作法,不僅提升保護成本,更因其特性難以驗證備份資訊的完整性,無法肯定能在未來派上用場。所以組織需要把可驗證性,加入到評估資料保護解決方案的條件之中,例如能否輕易做到定期還原演練,否則即便做好備份,也沒辦法重返營運。 落實演練並確保備份可用性,化被動合規為長期競爭力 《2026 台灣企業資料保護大調查》除了關注資安威脅,還深入了解台灣企業的另一個資料保護需求:滿足政府與供應鏈要求的資安法令(如 ISO 27001 與 GDPR)。目前近 6 成的中大型企業必須遵循特定的資料保護規範,但合規之路並非一路順暢,高達 62.4% 的企業表示「人員和資源不足」是推動合規最大的阻礙。 由於當前組織普遍缺乏自動化測試工具,等於 IT 人員就得跳下來手動執行,且企業使用的資料保護解決方案,往往也都沒有內建沙盒環境,還會擔心影響到營運現場,在這些限制之下,可以發現近一半的企業,每年僅執行一次還原演練,在資安風險高度變動的環境中相對落後。 在各類型的資安規範當中,定期還原演練都是明文指定的條例,企業唯有導入更方便驗證備份資料的機制,大幅減輕 IT 人員手動操作的重擔,確保備份資料的可用性,並提升演練的頻率,才能將合規壓力轉化為長期競爭力。 未來的資料保護架構,必須具備高度的自動化與智慧化能力,並集中至單一平台上,收斂複雜的維運工作,以達成高效率的目標。企業 IT 管理者應重新盤點既有資源,將預算精準投資於上述項目,才能實質改善營運韌性。 欲了解更詳細的 2026 資料保護趨勢與建議方針?立刻前往下載 《台灣企業資料保護大調查 2026》白皮書 >> https://sy.to/d3pwb5